What is cosmetic dentistry?

Cosmetic Dentistry can make your smile light up a room when you enter. Various cosmetic procedures allow Drs. Ruby, to create that beautiful smile you’ve been dreaming of. With whitening, veneers, implants, crowns, and bridges, we can change an average smile into a brilliant one.

Dr. Ruby, has taken numerous courses to advance her skills in the field of Cosmetic dentistry making her highly qualified to perform Esthetic Dentistry.

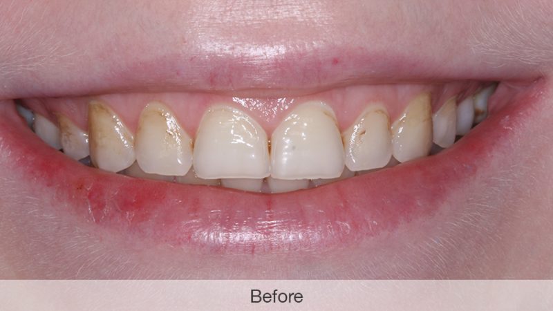
Before & after dental treatment

What are the benefits of cosmetic dentistry?

The benefit of cosmetic dentistry is to improve the appearance of a person’s teeth. Dental patients that choose Dr. Ruby dental cosmetic treatments report improved dental health, as well as an improved social and professional life. Your teeth can have a significant impact on your health, appearance, self-esteem, and self-confidence.

There are many dental cosmetic treatments available to you from tooth whitening, bonding, tooth-colored restorations, fillings, porcelain veneers, dental implants, and more!

What are some examples of cosmetic dentistry?

Teeth Whitening and Laser Dental Bleaching

Our laser in-office Teeth Whitening is a quick and convenient procedure in which you can have your teeth whitened. The whitening gel is a 35% hydrogen peroxide formula that only can be offered by a dentist. During whitening, Dr. Ruby or her team places the gel on the teeth while isolating and protecting the gums. Then, or her team activates the bleach with a light to accomplish the whitening. A one-hour bleaching session can produce dramatic whitening results, with some tooth or gum sensitivity. Touch-ups with home bleaching trays are recommended.

Home dental whitening is the most effective and safest teeth bleaching technique, but requires more patient participation. You would wear bleaching trays for an hour a day for approximately 10-14 days. Results are impressive and rival in-office bleaching results, but some patients report difficulties with the required daily time commitment. At-home bleaching procedures may result in mild but temporary tooth or gum sensitivity. One benefit of home bleaching is that the trays provide a quick and easy method for touch-ups.

Dental Porcelain Crowns & Dental Bridges

Crowns are recommended when large fillings wear out, when a tooth is cracked or sensitive, or when to make cosmetic improvements on teeth. For the most esthetic dental crowns, we use porcelain – the material that mimics natural teeth. The result is a crown or bridge that looks and feels like real teeth. This will help protect your tooth and prevent any additional damage. Dr. Ruby, works with the best materials in the dental industry to create a beautiful and natural smile.

Same Day Porcelain Dental Crowns (CAD-CAM Technology)

Same Day Porcelain Dental Crowns: Laser scanning and computer designing allow us to create high quality beautiful crowns, inlays, and onlays in one day, without temporaries. A dental crown is tooth-colored and tooth-shaped porcelain that is placed over your tooth to protect it and to prevent any further damage. Best of all, these “same day” crowns require less drilling and less removal of healthy tooth structure than old-fashioned crowns. Our e.max dental porcelain is stronger and more natural looking than ever before.

Tooth-Colored Dental Fillings

We provide our patients with tooth-colored dental restorations to make your teeth look more natural and beautiful. A silver dental filling has the disadvantages of being metallic and turning black with age; additionally, silver fillings are not bonded to your tooth and have a high risk of leakage over time.

Tooth-colored dental fillings are placed directly into a tooth and are hardened right after Dr. Ruby prepares the tooth, forming a micro-mechanical bond to your natural tooth structure. Tooth-colored composite fillings offer a strong and natural solution for restoring cavities and improving the natural esthetics of your smile.

Dental Porcelain Veneers

Dental veneers are thin layers of porcelain placed on the front surface of your teeth. They can be placed on one or more teeth, and are a conservative way to change the shape and color of teeth. Most patients choose to have veneers placed on their front teeth, the teeth that others notice most when they smile.

Invisalign and Clear Aligners

Clear Aligners is a unique form of orthodontics that moves teeth fast, effectively, and safely without rubber bands, wires, or brackets. Best yet, the “clear trays” that move the teeth are virtually invisible. Drs. Ruby and Dr. Patten have the training and have successfully completed a large portfolio of cases.

READY TO SCHEDULE WITH HAMPSTEAD SMILES

Schedule an appointment with us

Contact Info

Address

10 Main Street Hampstead, NH 03841

Call us

603-329-6761

Email

admin@hampsteadsmiles.com

Opening Hours

Monday: 8:00 AM - 5:00 PM

Tuesday: 8:00 AM - 5:00 PM

Wednesday: 8:00 AM - 1:00 PM

Thursday: 8:00 AM - 5:00 PM

Friday: Closed

Saturday: Closed

Subday: Closed

Background
Instagram